Outdoor Hazard: How to Avoid a Cougar Attack Cougar attacks are rare, but it pays to play defensively in mountain lion territory. Here, we provide some tips on how to avoid these encounters… Written by Steve Graepel May 23, 2018
When Fingers Are More Than Cold: Raynaud’s Disease When do cold fingers and toes become a more serious condition? Raynaud’s disease causes painfully cold, often pale-colored digits. Written by Steve Graepel February 21, 2018
Sunburn On Your Eyes! Protecting Against Snow Blindness Despite the cold, winter actually poses serious risks from the sun. Intense solar exposure and reflection off snow can cause temporary blindness. Here are some… Written by Steve Graepel February 06, 2018
Skier’s Thumb: The Unusually Common Fall Injury Skier’s thumb occurs when you try and stop a fall with arms outstretched and you land on your pole’s grip. A hyper-extended thumb isn’t an… Written by Steve Graepel January 29, 2018
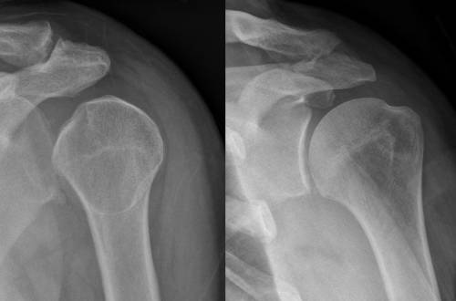
Outdoor Hazards: Dislocated Shoulder in the Backcountry The shoulder is the most mobile joint in the body – and the most likely to dislocate. What would you do if you dislocated a… Written by Steve Graepel January 17, 2018
Winter’s Bite: Treating and Avoiding Frostbite Skin exposed to extreme cold can freeze, posing painful and debilitating injury. Written by Steve Graepel December 27, 2017
Undetectable Killer: Cooking (or Heating) With Gas in Tents Odorless, colorless, poisonous: Carbon monoxide is a deadly threat to campers who cook and heat with gas inside tents. Written by Steve Graepel December 18, 2017
Avoid Knee Injuries While Skiing: Tips to Keep You Healthy Changing snow conditions, weak legs, skiing above your ability—knee injuries are one of the most common traumas on the slope. Here are some tips to… Written by Steve Graepel December 12, 2017
Avoid Hypothermia: Tips to Keep You Safe Cold and wet, the body’s temperature can drop, leading to hypothermia. Here are some tips to stay safe this winter. Written by Steve Graepel November 28, 2017
Poison Ivy: Spot the Plant, Treat the Rash Leaves of three, let it be. Poison ivy is easy to spot, especially in fall. Here are some pointers to identify (and treat) poison ivy… Written by Steve Graepel October 16, 2017
Outdoor Hazards: The Bonk We caught up with Salomon ultrarunner and coach Max King to learn more about the bonk and how to avoid it. Written by Steve Graepel September 25, 2017
Outdoor Hazards: Falling Branches When setting up camp, don’t forget to look up! Falling branches can hit campsites. Their old-school nickname — widowmaker — came about for a very… Written by Steve Graepel September 15, 2017
Outdoor Hazards: Wildfires If a wildfire were to ignite while you were hiking, would you know what to do? Learn what to do in a wildfire when you’re… Written by Steve Graepel September 08, 2017
Outdoor Hazards: Flash Flood Hell in high water, floods are a leading cause of death in the outdoors. Here are some pointers to play it safe. Written by Steve Graepel September 01, 2017
Outdoor Hazards: Rattlesnakes It’s been a hot year. And in many areas, that means snakes! Here are some tips to identify and avoid rattlesnakes. Written by Steve Graepel August 25, 2017
Outdoor Hazards: Viewing the Total Eclipse The total eclipse is coming to America. Are you ready? Written by Steve Graepel August 18, 2017